SONON 300C Apk 1.03.07
스포츠와 건강
1.03.07
업데이트 시간:January 28, 2026
다운로드apk
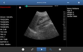
The SONON 300C is a mobile wireless ultrasound device with Android / ios App.
The SONON300C is a mobile wireless ultrasound device that can be operated easily with on hand. The SONON300C transmits ultrasound images via wireless access points to any mobile-based tablet or mobile phone screen.
The SONON300C app helps healthcare professionals communicate with flagship hospitals, so they can view and diagnose the images together. Via the 4G / LTE system, communication is available in remote locations.
Note: To scan a patient, your phone or tablet must be connected with the SONON300C (ultrasound device) via a Wi-Fi or wireless data network.